Dra. María del Carmen Manzano Robleda
El ultrasonido endoscópico (USE) también conocido como ultrasonido trans-endoscópico (USTE) o Endoscopic Ultrasound (EUS) en inglés, es un procedimiento realizado por médicos endoscopistas especializados en el área en donde a través de un tubo de endoscopia que tiene un transductor de ultrasonido en su extremo distal y un procesador especial, se pueden explorar las capas que conforman el tubo digestivo, generalmente esófago, estómago, duodeno y recto. También puede evaluar de forma detallada las estructuras que se encuentran cercanas al tubo digestivo. Algunos equipos además permiten introducir accesorios a través del endoscopio y tomar muestras de tejido del tubo digestivo o de las estructuras cercanas y comunicar dos estructuras.
¿A quién se debe realizar un USE?
Generalmente se utiliza para toma de biopsias en pacientes con tumores de páncreas, hígado, vías biliares o ganglios, para clasificar la etapa en la que se encuentra un tumor o para diagnosticar pequeñas piedras dentro del conducto biliar.
¿Se necesitan preparativos especiales?
La preparación generalmente es similar a una endoscopia o colonoscopia, dependiendo del área que se va a explorar.
Cuando se anticipa realizar una punción por cualquier motivo se debe contar con estudios preoperatorios que incluyan tiempos de coagulación y biometría hemática; así como suspender anticoagulantes, aspirina y otros antiagregantes (se debe consultar con los médicos involucrados la necesidad de suspender estos medicamentos y los días necesarios).
¿Cómo se realiza el USE?
Generalmente se realiza bajo sedación endovenosa como la mayoría de los estudios de endoscopia por lo que se debe acudir en ayuno y con previa preparación colónica en caso de realizarse exploración de recto.
¿Existen riesgos en el USE?
Aunque son raros y similares a los demás estudios de endoscopia, cuando se realiza USE y punción para biopsia por aspiración con aguja pueden llegar a presentarse infección, sangrado o perforación.
|
Imagen 1.Esquema del tubo de ultrasonido endoscópico entre estomago y duodeno con aguja en páncreas. |
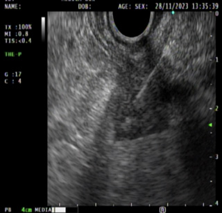
Imagen 2.Tumor gástrico dependiente de la capa muscular. |
|
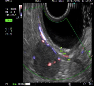
Imagen 3. Biopsia guiada con aguja de tumor de la pared del estómago |
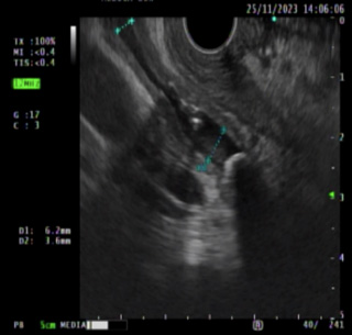
Imagen 4. Piedra en el conducto biliar. |



